skip_navigation

Unser Behandlungsangebot

In der Gefäßchirurgischen Klinik werden Erkrankungen der Hauptschlagader (Aorta), Halsschlagader (Carotis), Formen der arteriellen Verschlusskrankheit, und Erkrankungen blutzuführender (arterieller) und blutabführender (venöser) Gefäße operativ oder interventionell (katheterbasiert) behandelt.
Die Komplexität dieser Eingriffe erfordert ein entsprechend geschultes Team, die Ausstattung mit einem Hybrid–OP, die enge Verzahnung von ambulanter und stationärer Versorgung sowie die interdisziplinäre  Kooperation mit Fachbereichen wie der Medizinischen Klinik. In unserem Gefäßzentrum legen wir großen Wert auf die enge Zusammenarbeit. Die Ärzte*Ärztinnen der Gefäßchirurgischen Klinik und der Sektion für Angiologie beraten gemeinsam im Rahmen von regelmäßigen Besprechungen über die beste Untersuchungs- und Behandlungsmethode für den*die Patienten*Patientin.

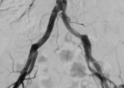
Arterielle Durchblutungsstörungen

Schaufensterkrankheit, Verengung der Hirnschlagader und akute Gerinnsel der Beinarterien. Rechtzeitig erkannt, lassen sich arterielle Durchblutungsstörungen gut behandeln.

weiterlesen

Behandlung chronischer Wunden

Chronische Wunden stellen in der Medizin eine große Herausforderung dar. In unserer Gefäßchirurgischen Klinik bedienen wir uns der modernsten Verfahren in der Wundtherapie.

weiterlesen

Venenleiden

Krampfadern sind die häufigste Erkrankung der Venen. Schätzungen zufolge leidet jeder 5. daran. Darüber hinaus behandeln wir Thrombophlebitis (Venenentzündung) und Thrombose (Verschluss der tiefen Venen).

weiterlesen

Aneurysmen (Erweiterungen) der Schlagadern

Aneurysmen sind Aussackungen der Schlagadern, die in allen Körperregionen auftreten können. Da sie meist keine Beschwerden verursachen, werden sie oft zufällig diagnostiziert.

weiterlesen

Diabetisches Fuß-Syndrom

Wundheilungsstörungen, gemindertes Schmerzempfinden und Durchblutungsstörungen sind oft die Folge eines Diabetes. Hauptbeschwerdeort sind meist die Füße, die es besonders zu pflegen gilt.

weiterlesen

Anlage dauerhafter Zugänge - Portanlage

Bei manchen Erkrankungen müssen über einen längeren Zeitraum Medikamente intravenös verabreicht werden. Um die Venen zu schonen, bietet sich die Anlage dauerhafter Zugänge, sog. Ports, an.

weiterlesen


Ihre Gesundheit in besten Händen